2:53

Dental Implant Surgery - Hamilton, Bermuda

Change Your Smile
and Upgrade Your Life

James - dental implant patient
"I Used To Hide My Smile, Now I Feel Confident Due To My Dental Implants."
dental patient smiling

Restore A Natural-Looking Smile

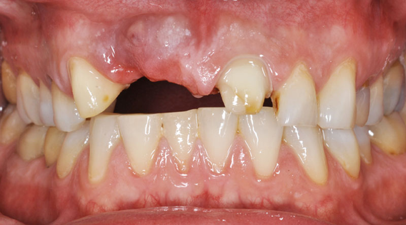
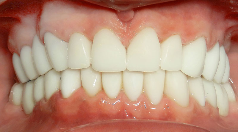
Gum disease, injury, tooth decay and genetic conditions can all cause tooth loss. If you’re living with one or more missing teeth, you may be experiencing functional and emotional repercussions. The empty spaces can cause other teeth to migrate, which can lead to bite misalignment (malocclusion). Missing teeth can also impact your ability to chew food, which can affect your diet and cause jaw pain. Tooth loss also impacts self-esteem, so you may feel too embarrassed to talk, laugh or socialize. No matter how many teeth you’re missing, dental implants are considered the “gold standard” tooth replacement solution. Our highly experienced dentist Dr. Jewel Landy has placed more than 1,500 dental implants, and has taken advanced dental implant courses at many prestigious institutions. Whether you have a single missing tooth or many, you can trust our team to deliver top-quality dental implants in Hamilton, Bermuda for a restored smile and better quality of life.

Dental Implants Require Expertise

Dental implants are made up of a post, abutment and restoration that work together to mimic the function of natural teeth. With proper oral hygiene, dental implants provide unsurpassed versatility, longevity and durability compared to other tooth replacement options. They offer the stability of natural teeth, maintain biological stimulation to prevent bone loss and the “sunken-in” appearance that can result from missing teeth. While dental implants are the “gold standard” solution due to their amazing benefits, they do require the precision of a skilled implant dentist and advanced surgical technology to ensure excellent outcomes and long-term success. Dr. Landy has extensive training in dental implantology, most notably from the Pacific Implant Institute, New York University College of Dentistry, and the Las Vegas Institute for Advanced Dental Studies. She is an Implant Fellow of both the International Congress of Oral Implantologists and the American Association of Implant Dentistry.

Your Custom Dental Implant Options

Dental implants are the most versatile tooth replacement option because they can support a single dental crown, a dental bridge or several missing teeth in a row. Dental implants greatly increase the stability of a modified denture, which snaps securely to the implants placed in your jaw bone. Full mouth dental implants enable biting with increased force (up to 70% more), prevent bone deterioration and restore facial features. Dental implants are a permanent solution that will improve your ability to eat comfortably, feel confident in a complete smile, and live an overall healthier life. Dr. Landy’s extensive experience, together with cone-beam computed tomography (CBCT) technology, platelet-rich fibrin (PRF) and a fully digital process ensure accurate placement and successful outcomes.
dental implant bridge model
implant supported denture
full arch dental implants
document mockup

Avoid Making Costly Mistakes!

Dental implants are a lifetime investment in your health, function, and quality of life. Avoid the common mistakes people make when considering implants by following our recommendations.
dental implant process

At your first consultation, we’ll discuss your dental and medical history, take digital X-rays and create a customized treatment plan.

Our Dental Implant Treatment Process

When you choose ReNew Dental Care for dental implants, treatment is personalized to your unique oral health needs and smile goals. At your first consultation, we’ll discuss your dental and medical history, take digital X-rays and create a customized treatment plan. If you’re getting full mouth dental implants, we’ll likely use our CBCT scanner to produce a 3D image of your teeth, soft tissues, nerve pathways and bone. If you need preliminary treatments such as bone grafting or extractions, Dr. Landy has vast experience performing both of these procedures. Fully guided techniques using CHROME™ GuidedSMILE technology enable an efficient and exacting procedure with predictable results. In most cases, we’re able to attach a temporary tooth or set of teeth crafted from biocompatible polymethyl methacrylate (PMMA) at the same appointment. Some patients choose PMMA for their permanent crowns because it costs less, but we also offer porcelain-fused-to-metal (PFM) and zirconia, which are more durable. Dental implants typically take three or more months to integrate with your bone in a process called “osseointegration.” While you’re healing and waiting for your permanent custom-made dental implant restoration, your temporary crown or teeth provide the ability to eat comfortably and enjoy restored smile aesthetics.

Why Choose Dental Implants?

Dentures can partially restore function and provide good smile aesthetics, but bone loss will continue. As such, some denture wearers experience related issues such as clicking, slipping and gum irritation. Unlike bridges, which require healthy teeth to be present in order to support the restoration, dental implants require no modification to adjacent teeth. The primary requirements for dental implants to be placed and remain secure and strong are proper jawbone density and healthy gums. Once they fuse with your underlying bone, dental implants provide ongoing stimulation to keep the jawbone healthy, plus they’re stable enough to restore over 99% of natural biting and chewing power! The great news is that virtually all patients who visit our practice are candidates for dental implants, and even if you aren’t, Dr. Landy can provide gum disease treatment and bone grafting to help you qualify.

The Lasting Benefits of Dental Implants

Transformative Dental Implants are Within Reach!

While we offer a highly competitive dental implant cost in Hamilton, Bermuda, the price is higher than other tooth replacement options. However, as the closest thing to natural teeth, the initial higher cost of dental implants is offset by their longevity and dramatic improvements to your self-esteem, oral health and systemic health. Most comprehensive dental insurance in Bermuda covers 50% of the dental implant cost for PMMA and we only require a down payment if you’re receiving full arch solutions. In addition to filing claims on your behalf and working to help maximize your benefits, in certain circumstances Dr. Landy offers an alternative in-house payment plan to make it easier to afford life-changing dental implants.

Find out if you're a

candidate for dental implants

Answer the Following Questions To Learn more about our pricing and financing options.

Enjoy a beautiful, healthier smile with dental implants!

Schedule an initial dental implant consultation today.

I understand the information disclosed in this form may be subject to re-disclosure and may no longer be protected by HIPAA privacy regulations and the HITECH Act.

Download "5 Mistakes to Avoid When Considering Dental Implants"

Thank you for your interest

Below is the download link to your free pdf. You'll have also received an email containing the link of you need to reference it later.

- The ReNew Dental Care Team

Download PDF

schedule appointment